How Do I Choose Which Toothpaste Is Best For Me?

How Do I Choose Which Toothpaste Is Best For Me?

    Do you ever wander down the toothpaste aisle and become immediately overwhelmed by the number of choices? There are toothpastes for sensitivity, whitening, bleeding gums, smokers, anti-cavity, with fluoride, without fluoride and the list goes on and on! How on earth do you choose? We’ve put together a little “cheat sheet” below to highlight the benefits to some... read more »

Welcome Summer!

Welcome Summer!

   Summer is a time that most everyone looks forward to! This summer is exceptionally special.  Masks are coming off, vaccines are abundant, travel plans have resumed and socialization with our friends and family is happening again after months upon months of isolation. With Covid restrictions slowly being lifted, the warmer weather has arrived just in time to get out... read more »

What Are Dental Crowns?

What Are Dental Crowns?

What are Dental Crowns? Dental crowns, formally known as “caps,” are dental restorations that are used for a variety of reasons, including both cosmetic and restorative.  Crowns can be constructed using a variety of materials but some of the most commonly used are gold – for its strength and durability, and porcelain due to it most resembling a natural tooth.... read more »

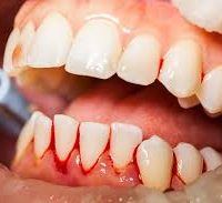
Healthy Gums Don’t Bleed!

Healthy Gums Don’t Bleed!

    Have you ever brushed or flossed your teeth and noticed your gums bleeding? Did you shrug it off as if to say it was “normal?” The reality is, with optimal oral health, bleeding is in fact NOT normal.       What Could Cause My Gums to Bleed? Your gums could be bleeding for a number of reasons... read more »

Smile Advantage-Our Exclusive Dental Savings Plan

Smile Advantage-Our Exclusive Dental Savings Plan

      SMILE ADVANTAGE: Our Exclusive Dental Savings Plan This past year has been challenging for so many people. Many of you have lost benefits, including your dental insurance and we understand the importance of keeping on top of your health.  We’d love to introduce you to a program we offer here called Smile Advantage.   What is Smile... read more »

What Causes Bad Breath?

What Causes Bad Breath?

  Now, more than ever, with mask wearing being required in most public places, we are acutely aware of what our breath smells like! If we hadn’t realized prior to Covid, some of us are troubled by the odors permeating from our masks and wondering what could be causing it and more importantly - what can be done!      ... read more »

Clenching/Grinding –The Importance of a Night guard:

Clenching/Grinding –The Importance of a Night guard:

  Clenching and grinding your teeth is a condition known as bruxism. This can happen while you’re asleep, or you may be clenching and grinding your teeth while you’re wide awake without even realizing it! Bruxism can cause a plethora of problems, so it’s important to be aware of some common signs. If you notice any of the following, please... read more »

Thank You, Asheville!

Thank You, Asheville!

  Thank you, Asheville! We recently received word from the Mountain Xpress that we have won “Best Dental Practice” in 2020!  This means so much to each of us here at Gillespie Dental Associates, and to say that we are honored, is an understatement.  The voting for this award took place at the onset of the global pandemic. Despite all... read more »

Do You Suffer from Dental Anxiety?

Do You Suffer from Dental Anxiety?

Did you know that dental anxiety is actually quite common in adults?  It’s estimated that approximately 1/3 of the population experiences dental fears to some degree. So, what causes dental anxiety? Dental anxiety can stem from a variety of factors and may cause minor to more severe symptoms. For example, some patients may sweat or experience a rapid heart rate... read more »

Back to the Basics: The Importance of a Prophy

Back to the Basics: The Importance of a Prophy

A dental prophylaxis, or prophy, is otherwise known as the “cleaning” you receive from your hygienist… and there is way more to this “cleaning” than you are probably aware of!   Assessing the Situation: Prior to the actual cleaning, your hygienist will collect what we call, assessment data. He/she will do a quick intra-oral and extra-oral examination (often without you... read more »